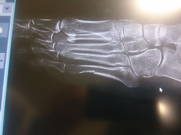
Ковальчик будет выступать в Сочи с переломом стопы
Юстина Ковальчик продолжит свои выступления на XXII Олимпийских зимних играх, несмотря на перелом стопы. Польская спортсменка повредила ногу еще до Олимпиады во время тренировок в Санта-Катерина. Эта травма не помешала ей начать выступления в Сочи и занять шестое место в скиатлоне.
"Рентгеновский снимок моей ноги. Многоуровневый перелом. Привет всем "экспертам". Буду выступать дальше", – написала Ковальчик на своей странице в Facebook.

Новости
15 дек 2018 21:20
1
1 фев 2018 12:34
30 дек 2017 17:55
29 дек 2017 13:45
22 дек 2017 18:45
4
11 дек 2017 20:44
11 дек 2017 15:07

